Try the promising tool to predict oral cancer prognosis
Prediction App for Oral Cancer Prognosis
Learn MoreAbout 9D Arrays
Who are we?
9D Arrays is a medical technology startup, supporting medical and healthcare innovations. Our company was founded based on a medical research project.
What is cancer?
Cancer is a disease that abnormal cells develop out of control and spread to other parts of the body. These cells can affect one health, probably leading to death.
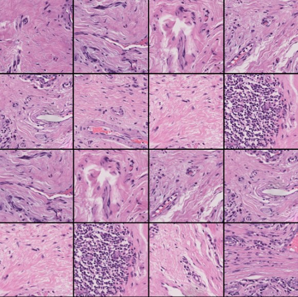
How do we help oral cancer patients?
Our apps are launched on cloud to serve everyone globally. Medical professionals can use LNTD to detect oral cancer in histopathology images. For prognosis, MILP was developed based on biomarkers to discriminate the patients with early recurrence from late/no recurrence.
Our Products

Tumor Detection (LNTD)
Our promising diagnosis app (LNTD) can classify patients into cancer case and non-cancer case, relieving the burden and stress of healthcare systems. Video: /videos/lntd.mp4

Tumor Recurrence (MILP)
Medical professionals can use our prognosis app (MILP) to monitor the post-treatment status of oral cancer patients, keeping them away from cancer to feel the true joy of life. Video: /videos/milp.mp4

Tumor Segmentation (RNTS)
Our segmentation app (RNTS) detects nine different tissues in brightfield, whole-slide histopathology images, which shows the distribution of tissue types with distribution ratios. Video: /videos/rnts.mp4
Our Team
Meet the people building next-generation medical AI.
Chui Shan is the founder of 9D Arrays. She obtained 7 research and industrial awards, including one from the Hong Kong Cyberport. Ibrahim joins her to develop machine learning models for cancer detection. Chui Shan holds a BSc in Chemistry from the University of Sydney, Australia, and MMedSc in Clinical Physics and PhD in Oncology from the University of Hong Kong. She is registered as a graduate statistian (GradStat) in the Hong Kong Statistical Society.
Ibrahim is the co-founder of 9D Arrays. He has experience in computer engineering and data science. Chui Shan describes him as a great programmer because he is easy to communicate and excellent at programming. Ibrahim holds a BEng in Computer Engineering and MEng in Big Data Analytics from reputable universities in the Middle East.
Oceana has experience in venture capital and management consulting, with a focus on emerging technologies and strategic growth. She is currently a cohort member of the Cyberport Creative Micro Fund (CCMF) in Hong Kong and serves as advisor to Bevatech, a biotechnology startup that won a gold medal in the 2024 iGEM competition. Oceana holds a BA in Economics from Cornell University with a Minor in Business and Music, and is a Certified Financial Risk Manager (FRM). She is fluent in Mandarin, Cantonese, and English. In her leisure time, you will find her throwing kicks at her local Muay Thai gym.
Contact us
Unit E G/F Koon Wah Building
Koon Wah Building
Yuen Chau Kok, Shatin
Hong Kong